





En Aguadulce (Almería)
Contamos con odontólogos de referencia con amplia experiencia en medicina y estética dental.
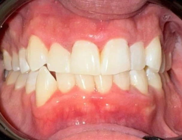
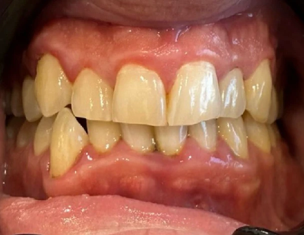
Blanqueamiento dental en Aguadulce - Almería
Disfruta de tu sonrisa
El blanqueamiento dental es un tratamiento ideal para recuperar la tonalidad blanca de los dientes, además, sus resultados son notables desde la primera hora.
En el blanqueamiento realizado en clínica, se emplea peróxido de hidrógeno, un agente blanqueador que se activa con luz de plasma y siempre se realiza bajo la supervisión de un profesional.
Antes del tratamiento hay que asegurarse de que la cavidad oral esté sana, para ello hay casos que requieren una limpieza dental previa.
En Clínica Eva contamos con dentistas en Aguadulce especialistas en odontología con amplia experiencia para que obtengas los mejores resultados.