Implantes dentales Aguadulce
Recupera la confianza en tu sonrisa
Los implantes dentales son un tratamiento odontológico que se realiza por la falta, pérdida o daño de alguna pieza dental y que cumple la misma función que los dientes reales.
- Valoración y diagnóstico médico gratuito.
- Las mejores marcas de implantes.
- Ausencia de piezas dentales, coronas en mal estado y recambio de prótesis.
- Colocación de prótesis
- Hasta 12 meses sin intereses.
- Permanente, seguro, estético y mejora tu calidad de vida.
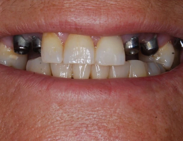
Implantes dentales Aguadulce resultados
Antes y después implantes dentales






Contamos con odontólogos de referencia con amplia experiencia en medicina y estética dental.
Implantes dentales en Aguadulce - Almería
Luce tu mejor sonrisa
Los implantes dentales son una solución definitiva a la falta de alguna pieza dental, es un procedimiento de varios meses de duración, ya que el tratamiento consta de dos fases: primero, se coloca el implante dentro del hueso y tras dos o tres meses se comprueba que está fijo para implantar la corona.
Aunque es un tratamiento estético, sus principales beneficios están relacionados con tu salud bucodental.
En Clínica Eva contamos con dentistas en Aguadulce especialistas en implantes dentales con amplia experiencia para que obtengas los mejores resultados.
El procedimiento para colocar un implante dental implica varias etapas y puede tomar varios meses. En general, consta de las siguientes fases:
- Evaluación: el dentista realiza una evaluación del paciente para determinar si es un buen candidato para un implante dental. Se toman radiografías y se realiza una evaluación de la salud bucal del paciente.
- Colocación del implante: se realiza una pequeña incisión en la encía y se inserta el implante en el hueso.
- Cicatrización: se debe esperar varias semanas o meses para que el implante se integre al hueso.
- Colocación: se coloca una pequeña estructura de metal en la parte superior del implante para conectar la prótesis dental.
- Colocación de la prótesis dental: puede ser una corona, puente o dentadura completa.